智齿其实是在人类进化过程中遗留下的器官,主要是原始时代用来咀嚼树根的工具,随着现代社会的发展,食物也是越来越精细,所以几乎用不上智齿。智齿一般来说长完整后,一共有4颗,但是并不是每个人都会全部长出,有的人甚至一颗也不会长。

1智齿是什么?
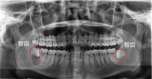
1、智齿,又叫智慧齿,是在成人阶段长出来的第三磨牙;
2、从中间往两边数,一般第八颗就是智齿;
3、智齿有上颚智齿也有下颚智齿,有人会四颗全都长出来,也有只长一颗或者几颗,甚至也有不长的;
4、智齿如果生长不正常,就会引起各种口腔问题,给生活造成困扰。
人的牙齿除了门牙,犬牙和磨牙之外,剩下的臼齿就是智齿,智齿一般是在9岁才开始形成,在14岁才长出齿冠,之后会慢慢的突破牙床,才能完整的长出来。但是很多人会出现智齿发炎的情况,因为随着人体的进化,牙弓越来越小,智齿的位置已经快没有了,所以生长出来的时候,会出现肿胀痛疼的感觉。
另外,智齿也并不是人人都会长的,有些人20岁左右就开始长,有些三四十才长,有些一辈子也不会长。是否长智齿与遗传和颌骨发育有关。不管长不长这都是正常的。

2智齿应该拔掉吗
智齿不一定要拔掉,但是如果有以下几种情况,则建议拔出,对身体也没有什么危害:
1.蛀牙:如果智齿被蛀严重,就必须拔除,如果发现比较及时,只是细小的损坏,可以通过修补来治疗。
2.挤压相邻牙齿:如果智齿的生长空间不足,挤压到了其他正常牙齿的生长,甚至出现吸收了其他牙齿,就必须拔除。
3.没有对咬牙:也就是智齿不是相对的,只有单面牙床长出,会导致咬合出现问题。
4.阻生牙:一般是埋藏在牙床中,这也是最难弄的一种情况,一般疼痛的时候,就是病发,就必须拔除了。

把智齿的后遗症:
1.疼痛、肿胀:智齿拔除创伤一般都比较大,术后会有不同时间的疼痛和肿胀。
2.张口受限:拔除智齿之后出现张口受限的情况,一般也会出现1-2周的时间,慢慢地恢复。
3.神经损伤:有一种智齿拔除之后的后遗症就是神经的损伤,智齿位置在特别低的情况下,尤其是下颌智齿有可能会伤到下颌神经,会造成下唇部位的麻木。
4.上颌窦穿通:上颌智齿有可能发生上颌窦的穿通等等。
5、其他并发症:特别复杂的智齿拔除,有可能会发生骨折和损伤到旁边牙齿等等,这些都是智齿拔除可能发生的并发症。
建议保留的智齿特征:
1.位置整齐,没有压迫其他牙齿。
2.智齿周围没有发炎。
3.完全埋伏于骨内与邻牙的牙周不相通,又没有压迫神经引起的疼痛,可以暂时保留,但是应该定期检查,每半年到一年到口腔科复查一次。
3不正常生长的智齿是什么样?
不正常生长的智齿有:横着的,斜向前的,斜向后的等等奇形怪状都有。
如下图:

横着长的智齿

斜着长的智齿

不知道怎么长的智齿